sábado, 5 de abril de 2014

Osteomalácia

Ei galera, o post de hoje é sobre uma patologia do tecido ósseo. A osteomalácia.
A osteomalácia é uma doença óssea caracterizada por ossos frágeis e quebradiços que nos adultos pode anteceder ou ser confundida com a osteoporose, e que na criança pode causar uma doença chamada raquitismo. Ela geralmente é causada por um defeito na construção do osso, mas existem outros fatores incluídos, e o seu tratamento pode incluir uma alimentação adequada, toma de medicamentos e exposição solar.

Sintomas de osteomalácia
Os sintomas de osteomalácia podem ser:
·         Dor nos ossos, principalmente nos quadris;
·         Fraqueza muscular;
·         Fraturas ósseas sem causa aparente;
Os sintomas também podem estar relacionados com a carência de cálcio no organismo, e por isso o indivíduo pode apresentar:
·         Sensação de dormência ao redor dos lábios, nos braços ou nas pernas;
·         Espasmos musculares nas mãos ou nos pés.
·         Causas da osteomalácia
As causas da osteomalácia podem ser:
·         Alterações na produção de osteóide;
·         ​Carência de cálcio ou fósforo no organismo;
·         Carência de vitamina D;
·         Dificuldade ou incapacidade de absorver ou utilizar a vitamina D;
·         Deficiência da enzima fosfatase alcalina;
·         Acidose metabólica que altera o pH do osso;
·         Substâncias como alumínio e flúor nos ossos que inibe a sua mineralização;
·         Câncer;
·         Insuficiência renal;
·         Doença hepática;
·         Efeito colateral de medicamentos utilizados contra convulsões;

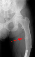
Diagnóstico de osteomalácia
Para o diagnóstico de osteomalácia deve-se realizar alguns exames como raio-x, densidade mineral e avaliação da concentração de cálcio, fósforo e vitamina D no organismo.

Tratamento para osteomalácia
Para o tratamento da osteomalácia recomenda-se tratar a sua causa, e isto pode ser alcançado através da:
·         Suplementação de cálcio, fósforo e/ou vitamina D;
·         Alimentação rica em cálcio e em vitamina D e
·         Exposição solar de 15 minutos diários no início da manhã, sem protetor solar.
Caso a osteomalácia seja causada pela síndrome da má absorção intestinal deve-se tratar esta doença também e em alguns casos, sugere-se a realização de uma cirurgia para fazer a correção das deformidades ósseas.

Osteomalácia tem cura?

A osteomalácia tem cura e ela pode ser alcançada através da eliminação da sua causa, mas as consequências da osteomalácia como a baixa estatura, raramente pode ser revertida.

Nenhum comentário:

Postar um comentário